患者,男,21岁,右手示指指骨无痛性肿胀,X线示右手示指指骨骨髓腔内有椭圆的透亮点,呈溶骨破坏。活检见瘤细胞由成熟的透明软骨组成,呈不规则分叶状,由疏松的...

作者: rantiku 人气: - 评论: 0
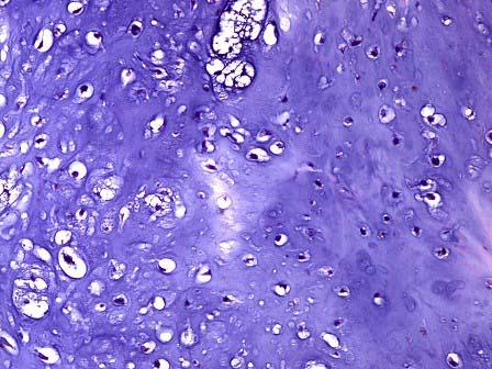
问题 患者,男,21岁,右手示指指骨无痛性肿胀,X线示右手示指指骨骨髓腔内有椭圆的透亮点,呈溶骨破坏。活检见瘤细胞由成熟的透明软骨组成,呈不规则分叶状,由疏松的纤维血管间质包绕,如图1、2所示,该病变的最佳诊断是 ( )
选项 A.骨瘤 B.软骨瘤 C.骨软骨瘤 D.骨囊肿 E.骨样骨瘤
答案 B
解析

猜你喜欢

发表评论
更多 网友评论0 条评论)
暂无评论

访问排行

Copyright © 2012-2014 恰考网 Inc. 保留所有权利。 Powered by tikuer.com

页面耗时0.0553秒, 内存占用1.03 MB, Cache:redis,访问数据库19次