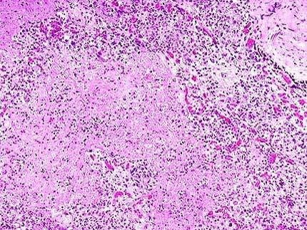
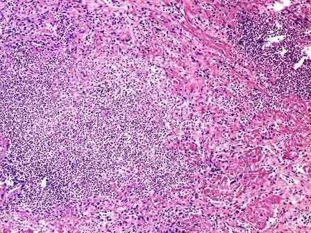
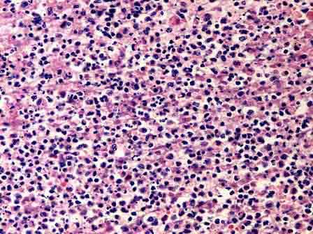
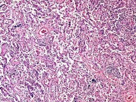
患者,男,35岁,咳嗽、咳脓痰,反复发热、咯血并有杵状指一年,X线示厚壁空洞,洞内壁不规则,多房性,手术后活检镜下如图,正确的诊断是 ( ) ...

作者: rantiku 人气: - 评论: 0
问题 患者,男,35岁,咳嗽、咳脓痰,反复发热、咯血并有杵状指一年,X线示厚壁空洞,洞内壁不规则,多房性,手术后活检镜下如图,正确的诊断是 ( )
选项 A.支气管扩张 B.空洞型肺结核继发感染 C.慢性肺脓肿 D.支气管肺癌 E.肺囊肿继发感染
答案 C
解析

猜你喜欢

发表评论
更多 网友评论0 条评论)
暂无评论

访问排行

Copyright © 2012-2014 恰考网 Inc. 保留所有权利。 Powered by tikuer.com

页面耗时0.0832秒, 内存占用1.03 MB, Cache:redis,访问数据库15次