男性病患,手术切除左手臂上一皮下肿块,结节状,有包膜,切面灰白色,质均,镜下改变如图1、2、3所示,可能的诊断是 ( )A.纤维肉瘤B.纤...

作者: rantiku 人气: - 评论: 0
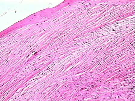
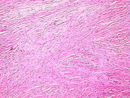
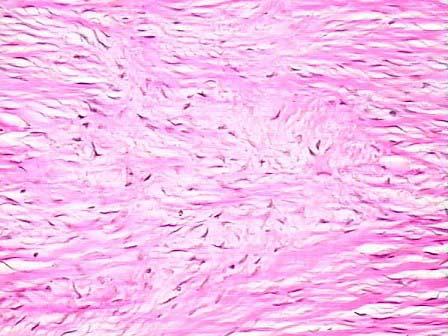
问题 男性病患,手术切除左手臂上一皮下肿块,结节状,有包膜,切面灰白色,质均,镜下改变如图1、2、3所示,可能的诊断是 ( )
选项 A.纤维肉瘤 B.纤维瘤 C.平滑肌瘤 D.脂肪瘤 E.平滑肌肉瘤
答案 B
解析

猜你喜欢

发表评论
更多 网友评论0 条评论)
暂无评论

访问排行

Copyright © 2012-2014 恰考网 Inc. 保留所有权利。 Powered by tikuer.com

页面耗时0.0394秒, 内存占用1.03 MB, Cache:redis,访问数据库20次