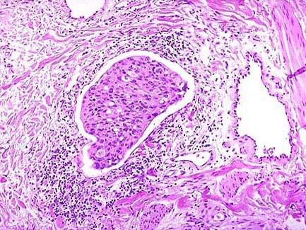
死者,男性,65岁,晚期胃癌术后2年突发呕血而亡。尸检见两肺表面遍布直径0.5cm至直径1.5cm大小灰黄色结节,如图所示,该患者最可能的诊断是 ( ) ...

作者: rantiku 人气: - 评论: 0
问题 死者,男性,65岁,晚期胃癌术后2年突发呕血而亡。尸检见两肺表面遍布直径0.5cm至直径1.5cm大小灰黄色结节,如图所示,该患者最可能的诊断是 ( )
选项 A.硅肺 B.粟粒性肺结核 C.肺鳞状细胞癌 D.细支气管肺泡癌 E.肺转移癌
答案 E
解析

猜你喜欢

发表评论
更多 网友评论0 条评论)
暂无评论

访问排行

Copyright © 2012-2014 恰考网 Inc. 保留所有权利。 Powered by tikuer.com

页面耗时0.0317秒, 内存占用1.03 MB, Cache:redis,访问数据库18次