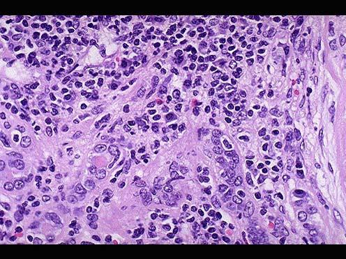
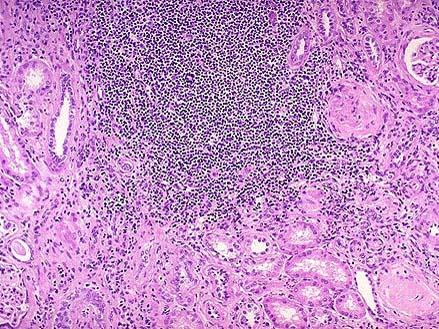
患者女性,53岁,双肾缩小,表面可见不规则瘢痕,两侧改变不对称,切开,皮髓质界限不清,肾乳头萎缩,肾盏和肾盂因瘢痕收缩而变形,肾盂黏膜粗糙;巨检如图,镜下...

作者: rantiku 人气: - 评论: 0
问题 患者女性,53岁,双肾缩小,表面可见不规则瘢痕,两侧改变不对称,切开,皮髓质界限不清,肾乳头萎缩,肾盏和肾盂因瘢痕收缩而变形,肾盂黏膜粗糙;巨检如图,镜下如图所示,应首先考虑的是 ( )
选项 A.高血压性肾病 B.慢性肾盂肾炎 C.急性肾小球肾炎 D.肾结核 E.慢性肾小球肾炎
答案 B
解析

猜你喜欢

发表评论
更多 网友评论0 条评论)
暂无评论

访问排行

Copyright © 2012-2014 恰考网 Inc. 保留所有权利。 Powered by tikuer.com

页面耗时0.0771秒, 内存占用1.02 MB, Cache:redis,访问数据库13次