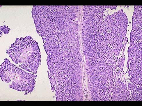
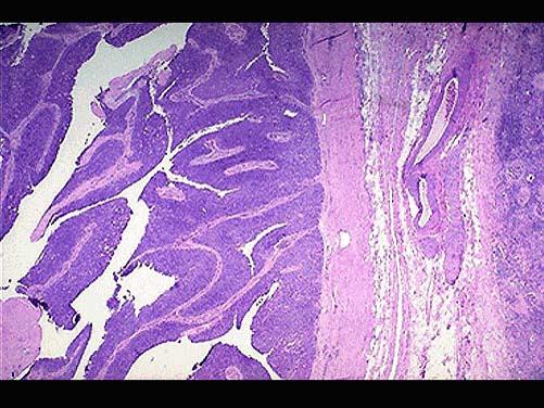
男,65岁。间歇性无痛性肉眼血尿1年。膀胱镜检:膀胱内距输尿管口0.5cm,可见2.5cm×1cm×1cm乳头状肿块,无蒂。静脉肾盂造影可见左肾轻度积水,...

作者: rantiku 人气: - 评论: 0
问题 男,65岁。间歇性无痛性肉眼血尿1年。膀胱镜检:膀胱内距输尿管口0.5cm,可见2.5cm×1cm×1cm乳头状肿块,无蒂。静脉肾盂造影可见左肾轻度积水,输尿管全段轻度扩张。行膀胱部分切除后镜检如图所示,下列说法正确的是 ( )
选项 A.该疾病好发部位为膀胱尖部 B.该疾病为膀胱透明细胞癌 C.该疾病手术后不易复发 D.常见的症状为无痛性血尿 E.发生在膀胱的肿瘤大部分为良性
答案 D
解析

猜你喜欢

发表评论
更多 网友评论0 条评论)
暂无评论

访问排行

Copyright © 2012-2014 恰考网 Inc. 保留所有权利。 Powered by tikuer.com

页面耗时0.0478秒, 内存占用1.03 MB, Cache:redis,访问数据库13次