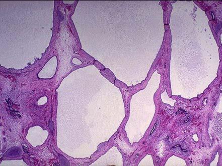
成年男尸,尸检时发现其双侧肾脏肿大,由许多大小不一的囊腔构成,大体如图所示,镜下如图所示,请做出病理诊断 ( )A.肾细胞癌B.多囊性肾病...

作者: rantiku 人气: - 评论: 0
问题 成年男尸,尸检时发现其双侧肾脏肿大,由许多大小不一的囊腔构成,大体如图所示,镜下如图所示,请做出病理诊断 ( )
选项 A.肾细胞癌 B.多囊性肾病 C.肾结核 D.孤立性肾囊肿 E.肾脓肿
答案 B
解析

猜你喜欢

发表评论
更多 网友评论0 条评论)
暂无评论

访问排行

Copyright © 2012-2014 恰考网 Inc. 保留所有权利。 Powered by tikuer.com

页面耗时0.0575秒, 内存占用1.03 MB, Cache:redis,访问数据库15次