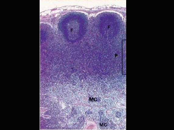
正常淋巴结结构如图所示,对皮质区描述不正确的是 ( )A.皮质区由大量淋巴滤泡构成B.淋巴滤泡主要由B淋巴细胞密集排列而成C.淋巴滤泡套区主要...

作者: rantiku 人气: - 评论: 0
问题 正常淋巴结结构如图所示,对皮质区描述不正确的是 ( )
选项 A.皮质区由大量淋巴滤泡构成 B.淋巴滤泡主要由B淋巴细胞密集排列而成 C.淋巴滤泡套区主要由T淋巴细胞构成 D.副皮质区主要由T淋巴细胞构成 E.髓质区由髓索和髓窦构成
答案 C
解析

猜你喜欢

发表评论
更多 网友评论0 条评论)
暂无评论

访问排行

Copyright © 2012-2014 恰考网 Inc. 保留所有权利。 Powered by tikuer.com

页面耗时0.0367秒, 内存占用1.03 MB, Cache:redis,访问数据库19次