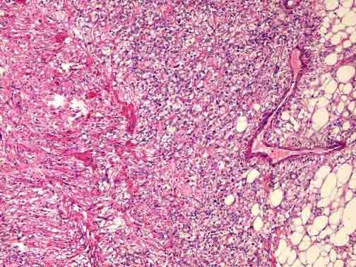
患者女性,50岁。发现左肾肿物1周。CT示左肾增大变形,内可见混杂密度病灶,其中含有脂肪密度。考虑为肾脏肿瘤,行左肾切除后送病理检验,镜检如图所示,首先应...

作者: rantiku 人气: - 评论: 0
问题 患者女性,50岁。发现左肾肿物1周。CT示左肾增大变形,内可见混杂密度病灶,其中含有脂肪密度。考虑为肾脏肿瘤,行左肾切除后送病理检验,镜检如图所示,首先应考虑的诊断为 ( )
选项 A.左肾透明细胞癌 B.左肾错构瘤 C.左肾梭形细胞癌 D.左肾颗粒细胞癌 E.左肾乳头状癌
答案 B
解析

猜你喜欢

发表评论
更多 网友评论0 条评论)
暂无评论

访问排行

Copyright © 2012-2014 恰考网 Inc. 保留所有权利。 Powered by tikuer.com

页面耗时0.0371秒, 内存占用1.03 MB, Cache:redis,访问数据库19次