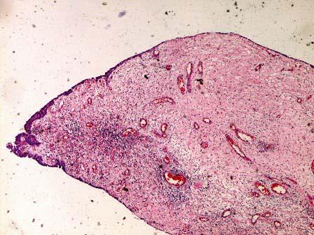
手术切除左肾标本,肾盂输尿管开口处见一新生物,突出黏膜面,有蒂,大小2cm×2cm×1cm,镜检如图所示,请做出镜下诊断 ( )A.肾盂透明细胞癌...

作者: rantiku 人气: - 评论: 0
问题 手术切除左肾标本,肾盂输尿管开口处见一新生物,突出黏膜面,有蒂,大小2cm×2cm×1cm,镜检如图所示,请做出镜下诊断 ( )
选项 A.肾盂透明细胞癌 B.肾盂息肉 C.间质性肾炎 D.肾盂移行细胞癌 E.慢性肾盂肾炎
答案 B
解析

猜你喜欢

发表评论
更多 网友评论0 条评论)
暂无评论

访问排行

Copyright © 2012-2014 恰考网 Inc. 保留所有权利。 Powered by tikuer.com

页面耗时0.0650秒, 内存占用1.03 MB, Cache:redis,访问数据库20次