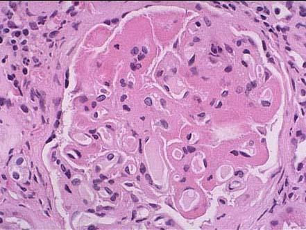
女性,36岁,系统性红斑狼疮患者,现出现大量蛋白尿、肉眼血尿、水肿、高血压,为明确诊断行肾穿刺活检,HE染色镜下如图所示,请做出病理诊断 ( )A.狼...

作者: rantiku 人气: - 评论: 0
问题 女性,36岁,系统性红斑狼疮患者,现出现大量蛋白尿、肉眼血尿、水肿、高血压,为明确诊断行肾穿刺活检,HE染色镜下如图所示,请做出病理诊断 ( )
选项 A.狼疮性肾炎(膜性肾小球肾炎) B.肾盂肾炎 C.间质性肾炎 D.IgA肾病 E.以上都不对
答案 A
解析

猜你喜欢

发表评论
更多 网友评论0 条评论)
暂无评论

访问排行

Copyright © 2012-2014 恰考网 Inc. 保留所有权利。 Powered by tikuer.com

页面耗时0.0453秒, 内存占用1.03 MB, Cache:redis,访问数据库19次