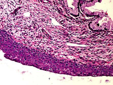
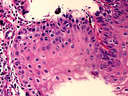
女性,29岁,患慢性宫颈炎,宫颈TCT中度炎症,取子宫颈组织病理检查,显微镜下所见如图。应诊断为 ( )A.慢性宫颈炎B.CINⅠ级C.C...

作者: rantiku 人气: - 评论: 0
问题 女性,29岁,患慢性宫颈炎,宫颈TCT中度炎症,取子宫颈组织病理检查,显微镜下所见如图。应诊断为 ( )
选项 A.慢性宫颈炎 B.CINⅠ级 C.CINⅡ级 D.CINⅢ级 E.宫颈原位癌
答案 C
解析

猜你喜欢

发表评论
更多 网友评论0 条评论)
暂无评论

访问排行

Copyright © 2012-2014 恰考网 Inc. 保留所有权利。 Powered by tikuer.com

页面耗时0.0377秒, 内存占用1.03 MB, Cache:redis,访问数据库20次