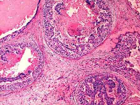
女性,34岁,右乳头溢血12天,左上象限可扪及一无痛性包块。行右乳包块切除,大体切面灰褐色,显微镜下见乳腺导管扩张,囊内充满非典型性细胞,呈实心团块状(如...

作者: rantiku 人气: - 评论: 0
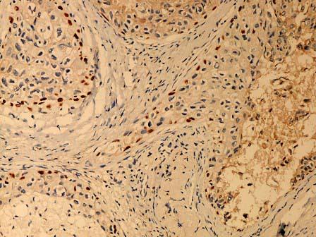
问题 女性,34岁,右乳头溢血12天,左上象限可扪及一无痛性包块。行右乳包块切除,大体切面灰褐色,显微镜下见乳腺导管扩张,囊内充满非典型性细胞,呈实心团块状(如图),免疫组化提示导管肌上皮细胞完好(如图)。最适当的诊断为 ( )
选项 A.乳腺纤维腺瘤 B.小叶原位癌 C.微小浸润性乳腺癌 D.浸润性导管癌 E.导管原位癌
答案 E
解析

猜你喜欢

发表评论
更多 网友评论0 条评论)
暂无评论

访问排行

Copyright © 2012-2014 恰考网 Inc. 保留所有权利。 Powered by tikuer.com

页面耗时0.0707秒, 内存占用1.03 MB, Cache:redis,访问数据库19次