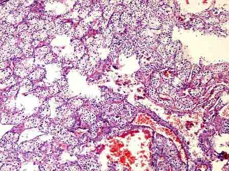
患者男性,62岁,发现右腰部肿块3个月。右侧肾细胞癌术后6年。行右腰部肿块切除,术后送病理检验,镜检如图所示,最可能的诊断为 ( )A.右腰部脓肿...

作者: rantiku 人气: - 评论: 0
问题 患者男性,62岁,发现右腰部肿块3个月。右侧肾细胞癌术后6年。行右腰部肿块切除,术后送病理检验,镜检如图所示,最可能的诊断为 ( )
选项 A.右腰部脓肿 B.右腰部结核 C.右腰部转移性肾透明细胞癌 D.右腰部脂肪瘤 E.以上都不正确
答案 C
解析

猜你喜欢

发表评论
更多 网友评论0 条评论)
暂无评论

访问排行

Copyright © 2012-2014 恰考网 Inc. 保留所有权利。 Powered by tikuer.com

页面耗时0.0324秒, 内存占用1.03 MB, Cache:redis,访问数据库17次