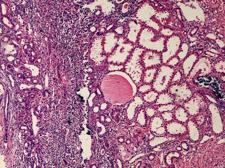
糖尿病患者,近期出现尿频、尿急、尿痛、血尿等症状,X线片可见肾盏中出现环形阴影。肾活检病理切片镜检如图所示:大量肾小管破坏,小管上皮细胞变性,间质中纤维化...

作者: rantiku 人气: - 评论: 0
问题 糖尿病患者,近期出现尿频、尿急、尿痛、血尿等症状,X线片可见肾盏中出现环形阴影。肾活检病理切片镜检如图所示:大量肾小管破坏,小管上皮细胞变性,间质中纤维化和大量淋巴细胞浸润。综合所见首先应考虑 ( )
选项 A.间质性肾炎 B.IgA肾病 C.慢性肾小球肾炎 D.肾结核 E.以上都不正确
答案 A
解析

猜你喜欢

发表评论
更多 网友评论0 条评论)
暂无评论

访问排行

Copyright © 2012-2014 恰考网 Inc. 保留所有权利。 Powered by tikuer.com

页面耗时0.0523秒, 内存占用1.03 MB, Cache:redis,访问数据库19次