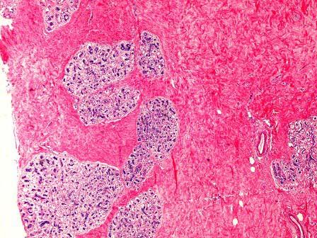
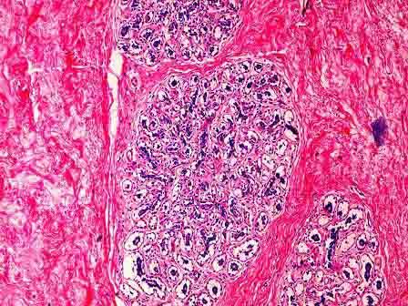
女性,28岁,发现右侧乳房包块,触痛,与月经有关。切除送检,见乳房右上象限一结节,直径3cm,与正常组织界线不清,色灰红,质韧,切面见突起于表面的小颗粒。...

作者: rantiku 人气: - 评论: 0
问题 女性,28岁,发现右侧乳房包块,触痛,与月经有关。切除送检,见乳房右上象限一结节,直径3cm,与正常组织界线不清,色灰红,质韧,切面见突起于表面的小颗粒。镜下见小叶数目增多,小叶内管泡增多(如图)。应诊断为 ( )
选项 A.乳腺小叶增生 B.乳腺导管增生 C.乳腺导管扩张症 D.乳腺纤维瘤 E.以上都不是
答案 A
解析

猜你喜欢

发表评论
更多 网友评论0 条评论)
暂无评论

访问排行

Copyright © 2012-2014 恰考网 Inc. 保留所有权利。 Powered by tikuer.com

页面耗时0.0416秒, 内存占用1.03 MB, Cache:redis,访问数据库18次