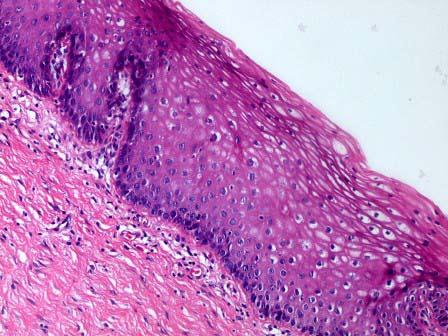
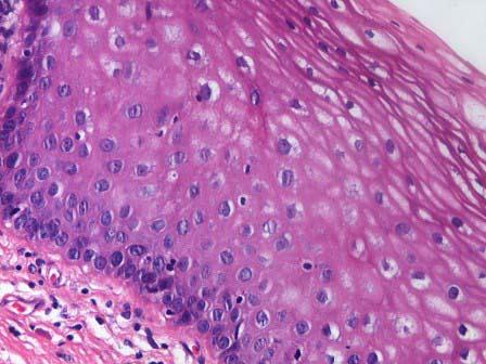
女性,32岁,体检取子宫颈活检,见鳞状上皮细胞轻度异型,异型细胞局限于上皮层下1/3,局灶区近表皮见挖空样细胞,核分裂不易见到,HPV6/11(+)。如图...

作者: rantiku 人气: - 评论: 0
问题 女性,32岁,体检取子宫颈活检,见鳞状上皮细胞轻度异型,异型细胞局限于上皮层下1/3,局灶区近表皮见挖空样细胞,核分裂不易见到,HPV6/11(+)。如图,应诊断为 ( )
选项 A.CINⅠ级 B.CINⅡ级 C.CINⅢ级 D.原位癌 E.浸润癌
答案 A
解析

猜你喜欢

发表评论
更多 网友评论0 条评论)
暂无评论

访问排行

Copyright © 2012-2014 恰考网 Inc. 保留所有权利。 Powered by tikuer.com

页面耗时0.0468秒, 内存占用1.03 MB, Cache:redis,访问数据库15次