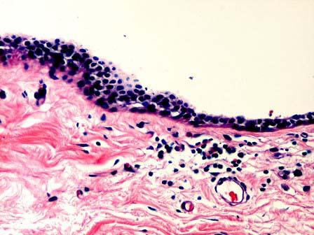
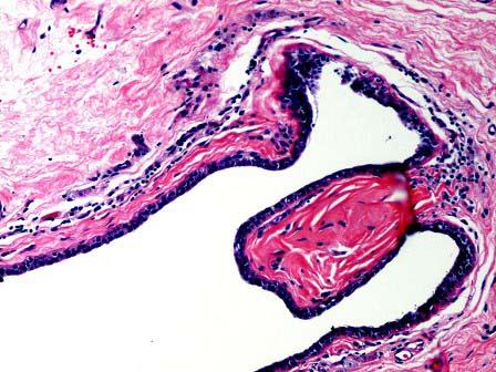
女性,35岁,左乳头红肿触痛半月余,溢液一周。乳晕下扪及边界不清硬结,切除左乳送检,大体见乳头乳晕下区数条输乳管扩张扭曲,管腔扩张,直径12cm,管腔内充...

作者: rantiku 人气: - 评论: 0
问题 女性,35岁,左乳头红肿触痛半月余,溢液一周。乳晕下扪及边界不清硬结,切除左乳送检,大体见乳头乳晕下区数条输乳管扩张扭曲,管腔扩张,直径12cm,管腔内充满棕黄色糊状物,管周有灰白色纤维性厚壁。镜下见乳腺小叶间质内出现扩张的导管,管腔内见脱落上皮细胞及脂质分泌物,导管周围纤维组织增生伴淋巴细胞浸润(如图)。应诊断为 ( )
选项 A.乳腺导管扩张症 B.乳腺导管增生 C.乳腺导管原位癌 D.乳腺小叶增生 E.以上都不是
答案 A
解析

猜你喜欢

发表评论
更多 网友评论0 条评论)
暂无评论

访问排行

Copyright © 2012-2014 恰考网 Inc. 保留所有权利。 Powered by tikuer.com

页面耗时0.0358秒, 内存占用1.03 MB, Cache:redis,访问数据库19次