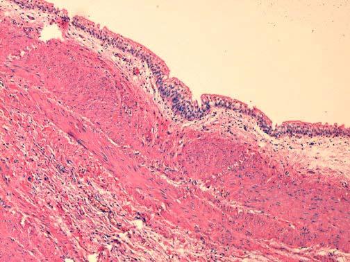
手术切除右肾标本,肾盂黏膜镜检如图所示:表面被覆的变移上皮增生,固有层内淋巴细胞浸润,纤维性间质增生。请做出镜下诊断 ( )A.肾盂黏膜慢性炎B....

作者: rantiku 人气: - 评论: 0
问题 手术切除右肾标本,肾盂黏膜镜检如图所示:表面被覆的变移上皮增生,固有层内淋巴细胞浸润,纤维性间质增生。请做出镜下诊断 ( )
选项 A.肾盂黏膜慢性炎 B.肾盂息肉 C.肾盂化脓性炎 D.肾盂移行细胞癌 E.肾盂透明细胞癌
答案 A
解析

猜你喜欢

发表评论
更多 网友评论0 条评论)
暂无评论

访问排行

Copyright © 2012-2014 恰考网 Inc. 保留所有权利。 Powered by tikuer.com

页面耗时0.0346秒, 内存占用1.03 MB, Cache:redis,访问数据库19次