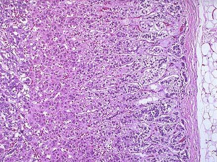
正常肾上腺镜下如图所示,不正确的叙述为 ( )A.皮质可分三带,由外向内为球状带、束状带、网状带B.球、束、网三带厚度比约为3:2:1C.球状...

作者: rantiku 人气: - 评论: 0
问题 正常肾上腺镜下如图所示,不正确的叙述为 ( )
选项 A.皮质可分三带,由外向内为球状带、束状带、网状带 B.球、束、网三带厚度比约为3:2:1 C.球状带细胞较小,由三五个细胞构成腺泡小球 D.束状带细胞较大,沿血窦作束状排列 E.束状带的细胞束彼此连接成网状构成网状带
答案 B
解析

猜你喜欢

发表评论
更多 网友评论0 条评论)
暂无评论

访问排行

Copyright © 2012-2014 恰考网 Inc. 保留所有权利。 Powered by tikuer.com

页面耗时0.0491秒, 内存占用1.02 MB, Cache:redis,访问数据库13次