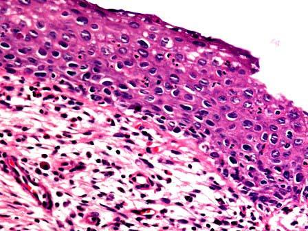
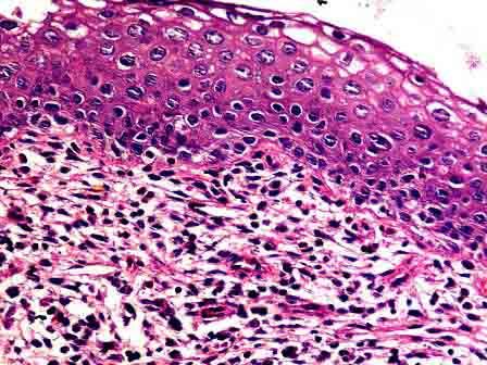
女性,34岁,接触性出血一年余加重一周,行子宫切除,显微镜下见鳞状上皮细胞具异型性,异型细胞超过上皮全层2/3,但不及3/3。如图,应诊断为 ( ) ...

作者: rantiku 人气: - 评论: 0
问题 女性,34岁,接触性出血一年余加重一周,行子宫切除,显微镜下见鳞状上皮细胞具异型性,异型细胞超过上皮全层2/3,但不及3/3。如图,应诊断为 ( )
选项 A.CINⅠ级 B.CINⅡ级 C.CINⅢ级 D.原位癌 E.浸润癌
答案 C
解析

猜你喜欢

发表评论
更多 网友评论0 条评论)
暂无评论

访问排行

Copyright © 2012-2014 恰考网 Inc. 保留所有权利。 Powered by tikuer.com

页面耗时0.0350秒, 内存占用1.03 MB, Cache:redis,访问数据库17次