女性,37岁,月经不规则数年,因下腹痛行检查,发现左下腹一包块。行左侧卵巢切除术并送检。大体见卵巢组织间一囊性瘤5cm×4cm×2cm,灰红,切开流出红褐...

作者: rantiku 人气: - 评论: 0
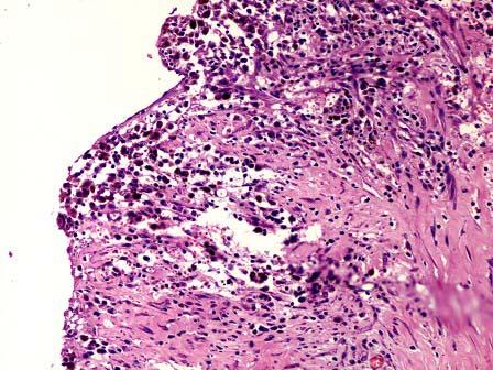
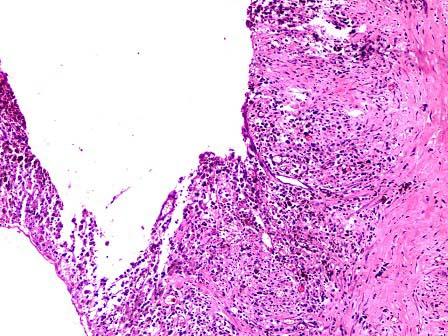
问题 女性,37岁,月经不规则数年,因下腹痛行检查,发现左下腹一包块。行左侧卵巢切除术并送检。大体见卵巢组织间一囊性瘤5cm×4cm×2cm,灰红,切开流出红褐色粘稠液体,囊壁增厚,壁厚12cm。镜下见囊壁增厚,纤维组织增生,无明显内衬上皮,可见含铁血黄素。卵巢组织间见子宫内膜上皮与间质结构(如图)。应诊断为 ( )
选项 A.卵巢巧克力囊肿 B.卵巢黏液性囊腺瘤 C.卵巢交界性黏液性囊腺瘤 D.卵巢黏液性囊腺癌 E.卵泡膜囊肿
答案 A
解析

猜你喜欢

发表评论
更多 网友评论0 条评论)
暂无评论

访问排行

Copyright © 2012-2014 恰考网 Inc. 保留所有权利。 Powered by tikuer.com

页面耗时0.0440秒, 内存占用1.03 MB, Cache:redis,访问数据库19次