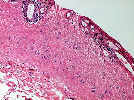
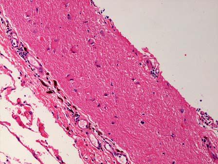
女性,21岁,下腹隐痛2月余。妇检扪及下腹包块,行手术切除左附件。大体卵巢内一6cm×5cm×4cm肿块,包膜完整,切面实性,含多个小囊,部分区质嫩。镜下...

作者: rantiku 人气: - 评论: 0
问题 女性,21岁,下腹隐痛2月余。妇检扪及下腹包块,行手术切除左附件。大体卵巢内一6cm×5cm×4cm肿块,包膜完整,切面实性,含多个小囊,部分区质嫩。镜下(如图)。最适当的诊断为 ( )
选项 A.成熟性囊性畸胎瘤 B.未分化性畸胎瘤 C.皮样囊肿 D.皮脂腺囊肿 E.成熟性实性畸胎瘤(含脑组织)
答案 E
解析

猜你喜欢

发表评论
更多 网友评论0 条评论)
暂无评论

访问排行

Copyright © 2012-2014 恰考网 Inc. 保留所有权利。 Powered by tikuer.com

页面耗时0.0395秒, 内存占用1.03 MB, Cache:redis,访问数据库18次