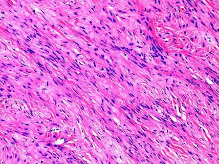
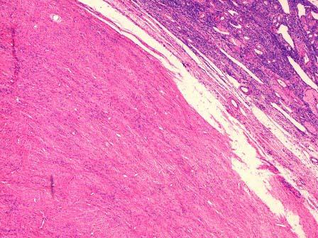
女性,45岁,一年,腹水3月加重1月,妇检扪及左侧附件包块,质硬,行左卵巢切除送检。见卵巢一结节。直径3cm,切面灰白,略呈漩涡状。镜下见大量波浪状的胶原...

作者: rantiku 人气: - 评论: 0
问题 女性,45岁,一年,腹水3月加重1月,妇检扪及左侧附件包块,质硬,行左卵巢切除送检。见卵巢一结节。直径3cm,切面灰白,略呈漩涡状。镜下见大量波浪状的胶原性结缔组织,小的梭形细胞排列成紧密的漩涡“席纹状”(如图),应诊断为 ( )
选项 A.卵巢纤维瘤 B.卵巢卵泡膜瘤 C.卵巢腺纤维瘤 D.卵巢粒细胞瘤 E.卵巢平滑肌瘤
答案 A
解析

猜你喜欢

发表评论
更多 网友评论0 条评论)
暂无评论

访问排行

Copyright © 2012-2014 恰考网 Inc. 保留所有权利。 Powered by tikuer.com

页面耗时0.0434秒, 内存占用1.03 MB, Cache:redis,访问数据库19次