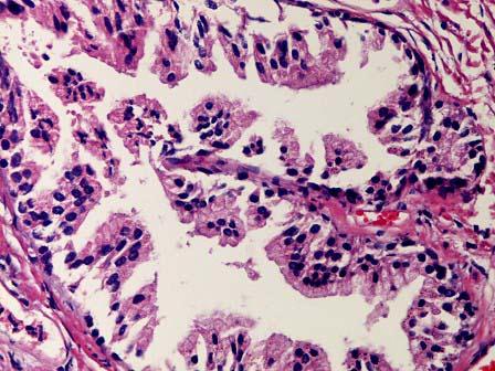
62岁男性,因前列腺肥大而行手术切除,镜下见腺体及间质增生,部分腺体细胞层次增多,腺腔不规则,如图所示,应诊断为 ( )A.前列腺良性增生B.前列...

作者: rantiku 人气: - 评论: 0
问题 62岁男性,因前列腺肥大而行手术切除,镜下见腺体及间质增生,部分腺体细胞层次增多,腺腔不规则,如图所示,应诊断为 ( )
选项 A.前列腺良性增生 B.前列腺基底细胞增生 C.前列腺腺体低级别上皮内瘤变 D.前列腺腺体高级别上皮内瘤变 E.导管内癌
答案 C
解析

猜你喜欢

发表评论
更多 网友评论0 条评论)
暂无评论

访问排行

Copyright © 2012-2014 恰考网 Inc. 保留所有权利。 Powered by tikuer.com

页面耗时0.0397秒, 内存占用1.03 MB, Cache:redis,访问数据库19次