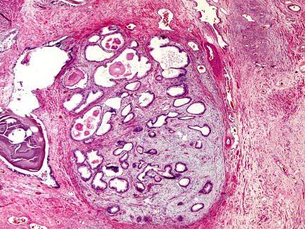
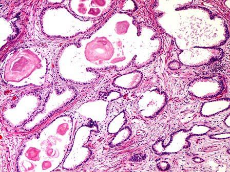
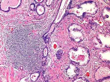
男性,67岁,因前列腺肿大而行手术切除,镜检示腺体增生,间质中还出现灶状淋巴细胞浸润(如图)。你认为最有可能的诊断是 ( )A.慢性前列腺炎 ...

作者: rantiku 人气: - 评论: 0
问题 男性,67岁,因前列腺肿大而行手术切除,镜检示腺体增生,间质中还出现灶状淋巴细胞浸润(如图)。你认为最有可能的诊断是 ( )
选项 A.慢性前列腺炎 B.前列腺良性增生 C.前列腺良性增生伴慢性前列腺炎 D.前列腺良性增生伴急性前列腺炎 E.肉芽肿性前列腺炎
答案 C
解析

猜你喜欢

发表评论
更多 网友评论0 条评论)
暂无评论

访问排行

Copyright © 2012-2014 恰考网 Inc. 保留所有权利。 Powered by tikuer.com

页面耗时0.0396秒, 内存占用1.03 MB, Cache:redis,访问数据库20次