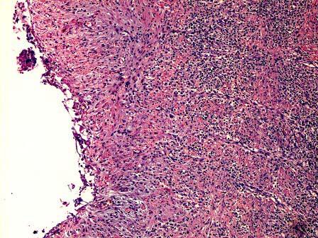
某肾脏病理切片如图所示,镜下可见 ( )A.浆液性炎B.纤维素性炎C.化脓性炎D.出血性炎E.以上都不正确

作者: rantiku 人气: - 评论: 0
问题 某肾脏病理切片如图所示,镜下可见 ( )
选项 A.浆液性炎 B.纤维素性炎 C.化脓性炎 D.出血性炎 E.以上都不正确
答案 C
解析

猜你喜欢

发表评论
更多 网友评论0 条评论)
暂无评论

访问排行

Copyright © 2012-2014 恰考网 Inc. 保留所有权利。 Powered by tikuer.com

页面耗时0.0357秒, 内存占用1.03 MB, Cache:redis,访问数据库19次