女性甲亢患者,24岁,服用药物治疗2年,近因心悸,多食,消瘦,月经量少就诊,查体甲状腺Ⅱ肿大立即行甲状腺切除术,术后病理巨检示:灰红结节状组织12cm×1...

作者: rantiku 人气: - 评论: 0
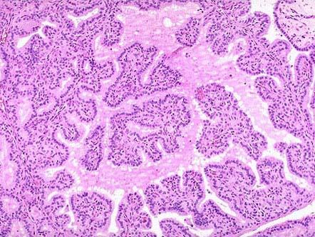
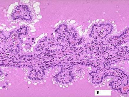
问题 女性甲亢患者,24岁,服用药物治疗2年,近因心悸,多食,消瘦,月经量少就诊,查体甲状腺Ⅱ肿大立即行甲状腺切除术,术后病理巨检示:灰红结节状组织12cm×10cm×5cm,切面灰红色,被膜完整。镜检如下图,根据相关资料可诊断为 ( )
选项 A.结节性甲状腺肿 B.单纯性甲状腺肿 C.胶样甲状腺肿 D.毒性甲状腺肿 E.桥本氏病
答案 B
解析

猜你喜欢

发表评论
更多 网友评论0 条评论)
暂无评论

访问排行

Copyright © 2012-2014 恰考网 Inc. 保留所有权利。 Powered by tikuer.com

页面耗时0.0443秒, 内存占用1.03 MB, Cache:redis,访问数据库19次