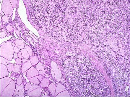
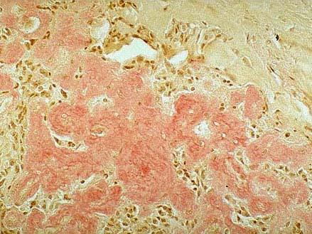
图1为甲状腺髓样癌的镜下观,图2为该肿瘤刚果红染色镜下观,由此二图可知该肿瘤的哪些特征 ( )A.肿瘤间质中可见淀粉样物质沉积B.肿瘤组织由实...

作者: rantiku 人气: - 评论: 0
问题 图1为甲状腺髓样癌的镜下观,图2为该肿瘤刚果红染色镜下观,由此二图可知该肿瘤的哪些特征 ( )
选项 A.肿瘤间质中可见淀粉样物质沉积 B.肿瘤组织由实性细胞巢或片块构成 C.肿瘤外围可见残留的甲状腺滤泡 D.肿瘤细胞异型明显,核分裂多见 E.常见出血,坏死囊性变
答案 ABC
解析

猜你喜欢

发表评论
更多 网友评论0 条评论)
暂无评论

访问排行

Copyright © 2012-2014 恰考网 Inc. 保留所有权利。 Powered by tikuer.com

页面耗时0.0406秒, 内存占用1.03 MB, Cache:redis,访问数据库19次