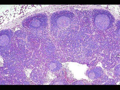
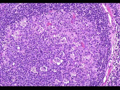
图示淋巴结反应性增生,其中病变包括哪些 ( )A.淋巴滤泡增生,增大B.可见较多的碎屑样坏死病灶C.副皮质弥漫性增生D.可见干酪样坏死...

作者: rantiku 人气: - 评论: 0
问题 图示淋巴结反应性增生,其中病变包括哪些 ( )
选项 A.淋巴滤泡增生,增大 B.可见较多的碎屑样坏死病灶 C.副皮质弥漫性增生 D.可见干酪样坏死病灶 E.窦组织细胞增生
答案 ACE
解析

猜你喜欢

发表评论
更多 网友评论0 条评论)
暂无评论

访问排行

Copyright © 2012-2014 恰考网 Inc. 保留所有权利。 Powered by tikuer.com

页面耗时0.0545秒, 内存占用1.03 MB, Cache:redis,访问数据库20次