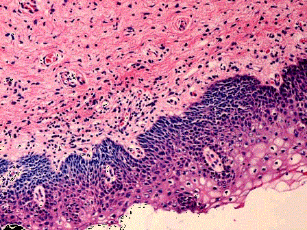
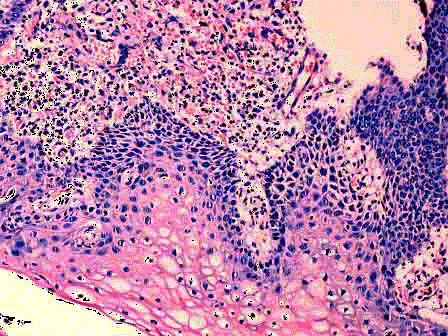
女性,34岁,阴道分泌物增多并有异味,检查宫颈肥大,质硬,宫颈黏膜中度-重度糜烂,取宫颈黏膜活检,显微镜下如图。应诊断为 ( ) A.慢性宫颈炎...

作者: rantiku 人气: - 评论: 0
问题 女性,34岁,阴道分泌物增多并有异味,检查宫颈肥大,质硬,宫颈黏膜中度-重度糜烂,取宫颈黏膜活检,显微镜下如图。应诊断为 ( )
选项 A.慢性宫颈炎 B.宫颈息肉 C.CINⅠ D.CINⅡ E.宫颈原位癌
答案 A
解析

猜你喜欢

发表评论
更多 网友评论0 条评论)
暂无评论

访问排行

Copyright © 2012-2014 恰考网 Inc. 保留所有权利。 Powered by tikuer.com

页面耗时0.0671秒, 内存占用1.03 MB, Cache:redis,访问数据库19次