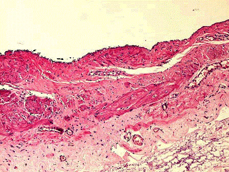
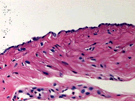
男性,67岁,左侧睾丸疼痛肿胀一年,行左睾丸附睾切除术。大体见附带精索、鞘膜的睾丸和附睾8cm×6cm×5cm,囊性,切开鞘膜有约60ml淡黄色液体,鞘膜...

作者: rantiku 人气: - 评论: 0
问题 男性,67岁,左侧睾丸疼痛肿胀一年,行左睾丸附睾切除术。大体见附带精索、鞘膜的睾丸和附睾8cm×6cm×5cm,囊性,切开鞘膜有约60ml淡黄色液体,鞘膜壁明显增厚。镜下见鞘膜囊壁衬覆一层扁平间皮细胞,其下为纤维结缔组织(如图)。应诊断为 ( )
选项 A.睾丸精原细胞瘤 B.睾丸卵黄囊瘤伴囊肿 C.睾丸囊性畸胎瘤 D.睾丸鞘膜积液 E.以上均不是
答案 D
解析

猜你喜欢

发表评论
更多 网友评论0 条评论)
暂无评论

访问排行

Copyright © 2012-2014 恰考网 Inc. 保留所有权利。 Powered by tikuer.com

页面耗时0.0382秒, 内存占用1.03 MB, Cache:redis,访问数据库20次