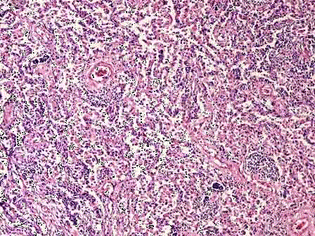
患者,男,45岁。因高热、咳嗽、咳大量脓痰入院。X线示一有液平面的空腔。手术切除病变肺组织,巨检见病变中央呈囊腔状,腔内含黄色脓液,镜下腔壁可见大量变性坏...

作者: rantiku 人气: - 评论: 0
问题 患者,男,45岁。因高热、咳嗽、咳大量脓痰入院。X线示一有液平面的空腔。手术切除病变肺组织,巨检见病变中央呈囊腔状,腔内含黄色脓液,镜下腔壁可见大量变性坏死中性粒细胞,如图所示,可诊断为 ( )
选项 A.肺结核 B.肺脓肿 C.小叶性肺炎 D.大叶性肺炎 E.肺癌
答案 B
解析

猜你喜欢

发表评论
更多 网友评论0 条评论)
暂无评论

访问排行

Copyright © 2012-2014 恰考网 Inc. 保留所有权利。 Powered by tikuer.com

页面耗时0.0342秒, 内存占用1.03 MB, Cache:redis,访问数据库19次