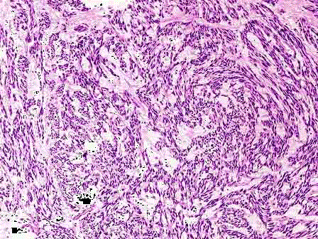
男性,68岁,发现会阴部肿块4月余伴排尿困难,手术切除,大体见结节、分叶状肿块14cm×11cm×5cm,有包膜,切面灰红,鱼肉状,质嫩。显微镜下见肿瘤细...

作者: rantiku 人气: - 评论: 0
问题 男性,68岁,发现会阴部肿块4月余伴排尿困难,手术切除,大体见结节、分叶状肿块14cm×11cm×5cm,有包膜,切面灰红,鱼肉状,质嫩。显微镜下见肿瘤细胞梭形,束状排列,束间组织疏松(如图);血管丰富,核分裂可见34个/50HPF,免疫组化CD34(+)(如图),Vim(+),CD99(+),Des(-),SMA(-),S-100(-),CK(-),应诊断为 ( )
选项 A.前列腺孤立性纤维性肿瘤 B.前列腺良性增生 C.前列腺平滑肌瘤 D.前列腺纤维瘤 E.前列腺纤维组织细胞瘤
答案 A
解析

猜你喜欢

发表评论
更多 网友评论0 条评论)
暂无评论

访问排行

Copyright © 2012-2014 恰考网 Inc. 保留所有权利。 Powered by tikuer.com

页面耗时0.0352秒, 内存占用1.03 MB, Cache:redis,访问数据库20次