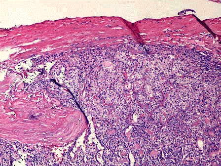
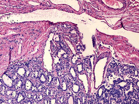
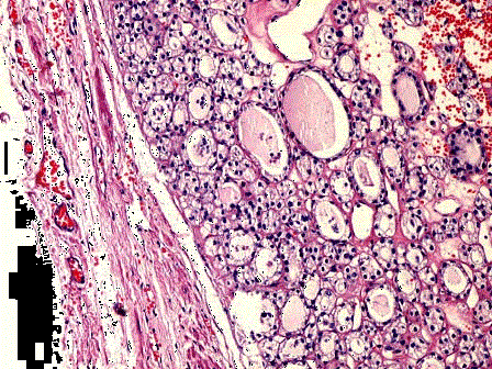
如图为甲状腺腺瘤镜下观和甲状腺高分化滤泡癌镜下观,仔细比较,二者最重要的区别是 ( ) A.是否具有完整包膜B.高分化滤泡癌的滤泡结构...

作者: rantiku 人气: - 评论: 0
问题 如图为甲状腺腺瘤镜下观和甲状腺高分化滤泡癌镜下观,仔细比较,二者最重要的区别是 ( )
选项 A.是否具有完整包膜 B.高分化滤泡癌的滤泡结构和上皮细胞形态异型性明显 C.肿瘤包膜、血管受侵犯和发生转移才能确诊为癌 D.核分裂象的多少是诊断标准 E.患者年龄的大小是决定因素
答案 C
解析

猜你喜欢

发表评论
更多 网友评论0 条评论)
暂无评论

访问排行

Copyright © 2012-2014 恰考网 Inc. 保留所有权利。 Powered by tikuer.com

页面耗时0.0435秒, 内存占用1.03 MB, Cache:redis,访问数据库20次