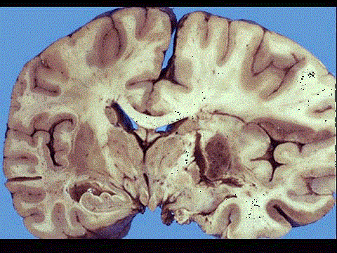
图为脑梗死的肉眼及镜下观,叙述不正确的是 ( ) A.多为贫血性梗死B.若梗死区血供部分恢复,血液再灌注则可转变为出血性梗死C.矢状窦血...

作者: rantiku 人气: - 评论: 0
问题 图为脑梗死的肉眼及镜下观,叙述不正确的是 ( )
选项 A.多为贫血性梗死 B.若梗死区血供部分恢复,血液再灌注则可转变为出血性梗死 C.矢状窦血栓形成造成的梗死为出血性梗死 D.脑梗死时组织坏死多属于液化性坏死 E.大脑中动脉栓塞导致的脑梗死其栓子多来自于门静脉系统
答案 E
解析

猜你喜欢

发表评论
更多 网友评论0 条评论)
暂无评论

访问排行

Copyright © 2012-2014 恰考网 Inc. 保留所有权利。 Powered by tikuer.com

页面耗时0.0540秒, 内存占用1.03 MB, Cache:redis,访问数据库19次