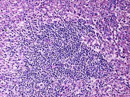
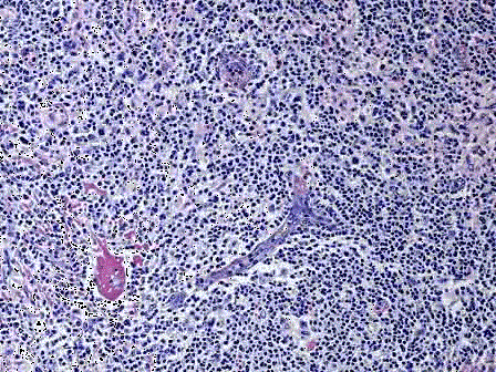
一患者颈部淋巴结肿大,直径达3cm,活检如图所示,淋巴滤泡弥漫增生,滤泡间小动脉增生、透明变性,并长入滤泡中心内;生发中心内小动脉内皮细胞肿胀,管壁内均质...

作者: rantiku 人气: - 评论: 0
问题 一患者颈部淋巴结肿大,直径达3cm,活检如图所示,淋巴滤泡弥漫增生,滤泡间小动脉增生、透明变性,并长入滤泡中心内;生发中心内小动脉内皮细胞肿胀,管壁内均质、红染物质呈同心圆状沉积。应首先考虑何种疾病 ( )
选项 A.反应性滤泡增生 B.滤泡性淋巴瘤 C.巨大淋巴结增生症 D.套细胞淋巴瘤 E.胸腺瘤
答案 C
解析

猜你喜欢

发表评论
更多 网友评论0 条评论)
暂无评论

访问排行

Copyright © 2012-2014 恰考网 Inc. 保留所有权利。 Powered by tikuer.com

页面耗时0.0509秒, 内存占用1.03 MB, Cache:redis,访问数据库15次