老年男性,曾是一名石棉矿矿工,尸检见胸膜腔内有一肿块,约5cm×4cm×3cm大小,如图所示,应首先考虑的诊断为 ( ) A.胸膜斑B.胸腺转移瘤...

作者: rantiku 人气: - 评论: 0
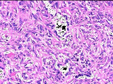
问题 老年男性,曾是一名石棉矿矿工,尸检见胸膜腔内有一肿块,约5cm×4cm×3cm大小,如图所示,应首先考虑的诊断为 ( )
选项 A.胸膜斑 B.胸腺转移瘤 C.毛细血管内皮瘤 D.恶性胸膜间皮瘤 E.恶性淋巴瘤
答案 D
解析

猜你喜欢

发表评论
更多 网友评论0 条评论)
暂无评论

访问排行

Copyright © 2012-2014 恰考网 Inc. 保留所有权利。 Powered by tikuer.com

页面耗时0.0376秒, 内存占用1.03 MB, Cache:redis,访问数据库20次