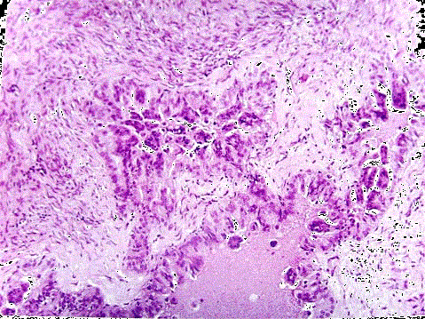
女性,35岁,下腹痛就诊,发现盆腔包块,B超见右卵巢15cm×14cm×10cm囊性肿块。手术切除见囊内含淡黄色液体,较浑浊,切面多房,直径310cm。镜...

作者: rantiku 人气: - 评论: 0
问题 女性,35岁,下腹痛就诊,发现盆腔包块,B超见右卵巢15cm×14cm×10cm囊性肿块。手术切除见囊内含淡黄色液体,较浑浊,切面多房,直径310cm。镜下见囊壁衬单层或乳头状上皮,部分区23层,细胞轻中度异型,间质中出现肿瘤细胞。诊断为 ( )
选项 A.浆液性囊腺瘤 B.交界性浆液性囊腺瘤 C.伴微浸润的浆液性交界性肿瘤 D.浆液性囊腺癌 E.以上都不是
答案 C
解析

猜你喜欢

发表评论
更多 网友评论0 条评论)
暂无评论

访问排行

Copyright © 2012-2014 恰考网 Inc. 保留所有权利。 Powered by tikuer.com

页面耗时0.0382秒, 内存占用1.03 MB, Cache:redis,访问数据库20次