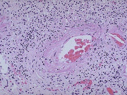
结节性多动脉炎患者肾脏病变镜检如图所示,关于该病说法错误的是 ( ) A.肾脏和胃肠道为最常见受损器官B.肾梗死常见C.晚期可出现进行性肾功能...

作者: rantiku 人气: - 评论: 0
问题 结节性多动脉炎患者肾脏病变镜检如图所示,关于该病说法错误的是 ( )
选项 A.肾脏和胃肠道为最常见受损器官 B.肾梗死常见 C.晚期可出现进行性肾功能衰竭 D.镜下,肾动脉、叶间和弓形动脉呈坏死性动脉炎改变 E.虽有肾损害,但绝大部分患者没有肾损害的临床表现
答案 E
解析

猜你喜欢

发表评论
更多 网友评论0 条评论)
暂无评论

访问排行

Copyright © 2012-2014 恰考网 Inc. 保留所有权利。 Powered by tikuer.com

页面耗时0.0533秒, 内存占用1.03 MB, Cache:redis,访问数据库20次