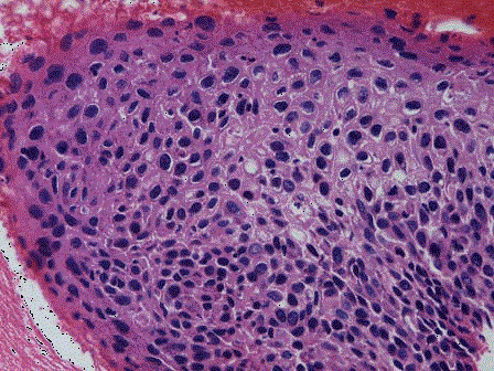
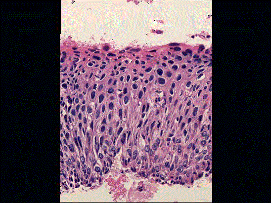
女性,39岁,接触性出血,曾查有CINⅡ级。经治疗后复查,取宫颈组织活检,镜下见鳞状上皮排列不规则,细胞异型性明显,累及上皮全层(如图)。应诊断为 ( )...

作者: rantiku 人气: - 评论: 0
问题 女性,39岁,接触性出血,曾查有CINⅡ级。经治疗后复查,取宫颈组织活检,镜下见鳞状上皮排列不规则,细胞异型性明显,累及上皮全层(如图)。应诊断为 ( )
选项 A.宫颈CINⅠ级 B.宫颈CINⅡ级 C.宫颈CINⅢ级 D.宫颈原位癌 E.宫颈浸润性癌
答案 D
解析

猜你喜欢

发表评论
更多 网友评论0 条评论)
暂无评论

访问排行

Copyright © 2012-2014 恰考网 Inc. 保留所有权利。 Powered by tikuer.com

页面耗时0.0428秒, 内存占用1.03 MB, Cache:redis,访问数据库18次