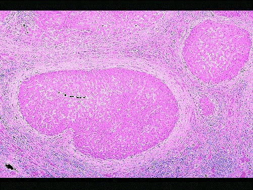
死者,男,50岁,酒醉后失足溺水而亡。死者生前有10余年酗酒史。尸检肝脏大体及镜下观如图所示,最可能的诊断 ( ) A.门脉性肝硬化B.酒精...

作者: rantiku 人气: - 评论: 0
问题 死者,男,50岁,酒醉后失足溺水而亡。死者生前有10余年酗酒史。尸检肝脏大体及镜下观如图所示,最可能的诊断 ( )
选项 A.门脉性肝硬化 B.酒精性肝硬化 C.坏死后肝硬化 D.血吸虫肝硬化 E.胆汁型肝硬化
答案 B
解析

猜你喜欢

发表评论
更多 网友评论0 条评论)
暂无评论

访问排行

Copyright © 2012-2014 恰考网 Inc. 保留所有权利。 Powered by tikuer.com

页面耗时0.0314秒, 内存占用1.03 MB, Cache:redis,访问数据库17次