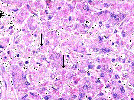
肝穿刺送检标本,镜下如图所示,箭头所指肝细胞出现何种病变 ( ) A.细胞水肿B.脂肪变性C.玻璃样变性D.嗜酸性变E.点状坏死

作者: rantiku 人气: - 评论: 0
问题 肝穿刺送检标本,镜下如图所示,箭头所指肝细胞出现何种病变 ( )
选项 A.细胞水肿 B.脂肪变性 C.玻璃样变性 D.嗜酸性变 E.点状坏死
答案 D
解析

猜你喜欢

发表评论
更多 网友评论0 条评论)
暂无评论

访问排行

Copyright © 2012-2014 恰考网 Inc. 保留所有权利。 Powered by tikuer.com

页面耗时0.0387秒, 内存占用1.03 MB, Cache:redis,访问数据库18次