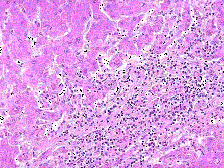
患者,33岁,男性,厌食,进行性消瘦伴右上腹疼痛1个月。肝穿刺组织病检,镜下观如图,可见何种病变 ( ) A.假小叶形成B.肝细胞水肿C.碎片...

作者: rantiku 人气: - 评论: 0
问题 患者,33岁,男性,厌食,进行性消瘦伴右上腹疼痛1个月。肝穿刺组织病检,镜下观如图,可见何种病变 ( )
选项 A.假小叶形成 B.肝细胞水肿 C.碎片状坏死 D.点状坏死 E.大块坏死
答案 C
解析

猜你喜欢

发表评论
更多 网友评论0 条评论)
暂无评论

访问排行

Copyright © 2012-2014 恰考网 Inc. 保留所有权利。 Powered by tikuer.com

页面耗时0.0411秒, 内存占用1.03 MB, Cache:redis,访问数据库20次