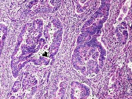
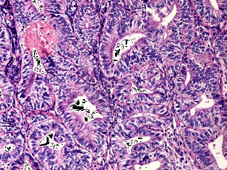
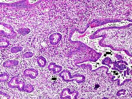
女性,46岁,阴道不规则出血1年,诊刮子宫内膜,显微镜下见腺体增生密集,与间质比>3:1,腺体呈乳头状,可见背靠背现象,伴嗜酸性粒细胞浸润,腺上皮异型性并...

作者: rantiku 人气: - 评论: 0
问题 女性,46岁,阴道不规则出血1年,诊刮子宫内膜,显微镜下见腺体增生密集,与间质比>3:1,腺体呈乳头状,可见背靠背现象,伴嗜酸性粒细胞浸润,腺上皮异型性并见核仁(如图),应诊断为 ( )
选项 A.子宫内膜单纯性增生 B.子宫内膜复杂性增生 C.子宫内膜单纯性增生伴非典型增生 D.子宫内膜复杂性增生伴非典型增生 E.子宫内膜腺癌
答案 C
解析

猜你喜欢

发表评论
更多 网友评论0 条评论)
暂无评论

访问排行

Copyright © 2012-2014 恰考网 Inc. 保留所有权利。 Powered by tikuer.com

页面耗时0.0441秒, 内存占用1.03 MB, Cache:redis,访问数据库20次