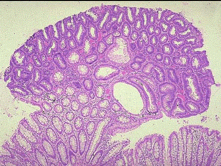
结肠镜检见患者直肠距肛门10cm处,有一鲜红色突起,约2.5cm×2cm×1cm,切除活检如图1、2、3所示,正确的诊断是 ( ) A.结...

作者: rantiku 人气: - 评论: 0
问题 结肠镜检见患者直肠距肛门10cm处,有一鲜红色突起,约2.5cm×2cm×1cm,切除活检如图1、2、3所示,正确的诊断是 ( )
选项 A.结肠Crohn病 B.结肠增生性息肉 C.结肠腺瘤性息肉 D.慢性结肠炎 E.结肠癌
答案 C
解析

猜你喜欢

发表评论
更多 网友评论0 条评论)
暂无评论

访问排行

Copyright © 2012-2014 恰考网 Inc. 保留所有权利。 Powered by tikuer.com

页面耗时0.0701秒, 内存占用1.03 MB, Cache:redis,访问数据库14次