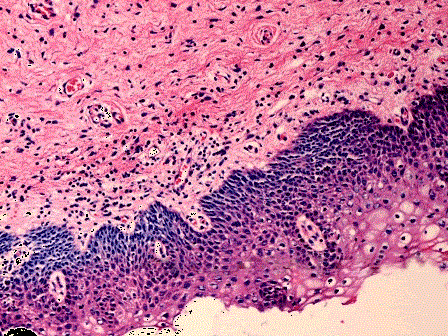
患者,女,30岁,诉阴道分泌物增多。妇检见宫颈糜烂、肥大,宫颈活检镜下如图所示,则可能的诊断是 ( ) A.CINⅡ级B.慢性宫颈炎伴腺体鳞...

作者: rantiku 人气: - 评论: 0
问题 患者,女,30岁,诉阴道分泌物增多。妇检见宫颈糜烂、肥大,宫颈活检镜下如图所示,则可能的诊断是 ( )
选项 A.CINⅡ级 B.慢性宫颈炎伴腺体鳞化 C.CINⅢ级 D.宫颈原位癌 E.宫颈鳞状细胞癌伴早期浸润
答案 B
解析

猜你喜欢

发表评论
更多 网友评论0 条评论)
暂无评论

访问排行

Copyright © 2012-2014 恰考网 Inc. 保留所有权利。 Powered by tikuer.com

页面耗时0.0360秒, 内存占用1.02 MB, Cache:redis,访问数据库13次