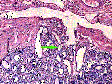
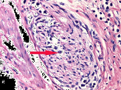
图1为胃中低分化腺癌镜下观,图2为甲状腺滤泡癌镜下观,箭头所指表示了肿瘤的哪几种侵犯方式 ( ) A.侵犯包膜B.侵犯神经C.侵犯...

作者: rantiku 人气: - 评论: 0
问题 图1为胃中低分化腺癌镜下观,图2为甲状腺滤泡癌镜下观,箭头所指表示了肿瘤的哪几种侵犯方式 ( )
选项 A.侵犯包膜 B.侵犯神经 C.侵犯脉管 D.侵犯表皮 E.以上都不是
答案 ABC
解析

猜你喜欢

发表评论
更多 网友评论0 条评论)
暂无评论

访问排行

Copyright © 2012-2014 恰考网 Inc. 保留所有权利。 Powered by tikuer.com

页面耗时0.0593秒, 内存占用1.03 MB, Cache:redis,访问数据库15次