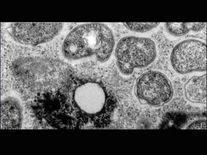
如图所示,流行性斑疹伤寒的病原体是 ( )A.普氏立克次体B.莫氏立克次体C.罗氏立克次体D.立氏立克次体E.加拿大立克次体

作者: rantiku 人气: - 评论: 0
问题 如图所示,流行性斑疹伤寒的病原体是 ( )
选项 A.普氏立克次体 B.莫氏立克次体 C.罗氏立克次体 D.立氏立克次体 E.加拿大立克次体
答案 A
解析

猜你喜欢

发表评论
更多 网友评论0 条评论)
暂无评论

访问排行

Copyright © 2012-2014 恰考网 Inc. 保留所有权利。 Powered by tikuer.com

页面耗时0.0407秒, 内存占用1.03 MB, Cache:redis,访问数据库18次