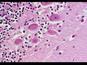
如图,有关狂犬病的内氏小体,下列哪项否正确 ( )A.常见于海马旁回和小脑B.主要位于神经细胞核内C.是一种嗜酸性包涵体D.对狂犬病有诊断...

作者: rantiku 人气: - 评论: 0
问题 如图,有关狂犬病的内氏小体,下列哪项否正确 ( )
选项 A.常见于海马旁回和小脑 B.主要位于神经细胞核内 C.是一种嗜酸性包涵体 D.对狂犬病有诊断价值 E.是狂犬病毒的集落
答案 B
解析

猜你喜欢

发表评论
更多 网友评论0 条评论)
暂无评论

访问排行

Copyright © 2012-2014 恰考网 Inc. 保留所有权利。 Powered by tikuer.com

页面耗时0.0299秒, 内存占用1.03 MB, Cache:redis,访问数据库15次